Home Types of Blood Cancer
 
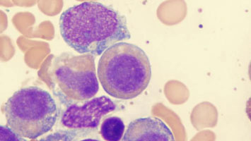
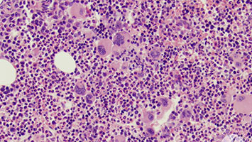
                    Disorders where bone marrow fails to produce healthy blood cells.
Read More 
                    Assistance with obtaining high-quality medications at discounted rates for eligible patients.
Read More